
Pernahkah Anda mengalami gusi bengkak? Atau mungkin keluarga atau kerabat dekat Anda sedang/pernah mengalami gusi bengkak? Gusi bengkak merupakan kondisi yang tidak nyaman dan dapat terjadi karena berbagai hal. Kenapa sih gusi bisa bengkak? Memangnya, gusi yang normal itu seperti apa? Simak artikel berikut ini untuk mendapatkan jawabannya!
Ciri-ciri Gusi yang Sehat
Coba Anda bercermin, tersenyum atau buka mulut, dan perhatikan gusi Anda? Seperti apa warnanya? Seperti apa teksturnya? Gusi yang sehat dan normal berwarna coral pink (tidak terlalu kemerahan dan tidak terlalu pucat), memiliki tampilan seperti kulit jeruk atau stippling (tidak terlalu licin), permukaan padat dan kencang (tidak terlalu lembek ketika disentuh), melekat dengan baik pada gigi. Pada kondisi yang sehat dan normal, gusi tidak mudah berdarah dan tentunya tidak bengkak.
Gusi bengkak? Ini yang perlu Anda perhatikan!
Gusi bengkak bisa muncul dalam berbagai tampilan. Bila Anda merasa gusi Anda bengkak, perhatikan apakah pembengkakan hanya terjadi di dekat salah satu gigi atau bengkak secara keseluruhan? Selain itu, perlu juga diperhatikan apakah bengkaknya disertai nanah atau tidak? Bagaimana tekstur pada area pembengkakan tersebut, apakah keras atau licin? Biasanya tampilan gusi bengkak bisa mengerucutkan etiologi atau penyebab dari pembengkakannya.
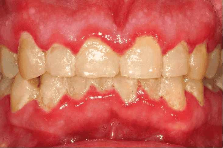
- Pembengkakan gusi karena akumulasi plak dan karang gigi
Plak adalah sisa-sisa makanan yang menempel pada gigi yang kemudian melunak akibat diuraikan oleh bakteri. Plak yang tidak kunjung dibersihkan dapat mengeras dan membentuk karang gigi. Sebagai bentuk respon pertahanan tubuh, terjadi peradangan/inflamasi dimana pembuluh darah pada gusi akan melebar dan mengirimkan banyak sel darah putih untuk membunuh bakteri-bakteri tersebut. Melebarnya pembuluh darah ini menimbulkan tampilan gusi yang lebih merah dan mengkilap dari normal, pembengkakan gusi (edema), dan gusi mudah berdarah, kurang lebih tampilannya seperti gambar berikut:

Gusi akan meradang pada area dimana plak dan karang gigi menumpuk. Nah, maka dari itu, penting untuk menyikat gigi dengan baik dan benar. Mungkin Anda merasa “Ah rasanya saya sudah sikat gigi dua kali tapi mengapa masih kurang bersih ya?”. Dari segi frekuensi, sudah benar menyikat gigi 2 kali sehari, namun dari segi teknik berarti masih kurang tepat. Cara menyikat gigi yang benar adalah bulu sikat gigi 45 derajat terhadap gigi dengan sebagian bulunya masuk ke gusi seperti ilustrasi berikut:

Adapun treatment dari gusi bengkak seperti kasus ini adalah dengan pembersihan yang optimal dengan scaling serta sikat gigi seperti teknik di atas untuk menjaga kebersihan mulut
- Abses gingiva atau periodontal
Sela-sela gigi sering kali menjadi area yang tidak terjangkau saat menyikat gigi. Hal ini menyebabkan terakumulasinya plak dan karang gigi pada area tersebut. Terkadang, plak dan kalkulus ini menimbulkan pembengkakan yang disertai nanah dan kegoyangan gigi. Kondisi seperti ini disebut dengan abses gingiva atau periodontal. Pembengkakan biasanya terlokalisir pada 1 atau 2 gigi yang berdekatan, ketika ditekan terasa sakit dan lunak dan mengeluarkan nanah. Walau tidak terlihat secara kasat mata, terdapat plak atau karang gigi yang menumpuk di bawah gusi yang memicu terbentuknya abses ini.

- Abses periapikal karena gigi berlubang besar
Gigi berlubang besar yang tidak segera ditangani juga dapat menimbulkan pembengkakan pada gusi. Lubang yang awalnya berasal dari gigi, bakterinya dapat menjalar ke tulang di sekitar akar gigi dan membentuk nanah. Nanah kemudian terakumulasi dan lama-kelamaan akan mencari “jalan keluarnya”, salah satunya adalah melalui gusi. Cairan nanah yang terakumulasi pada gusi menyebabkan pembengkakan pada gusi. Bergantung pada tingkat kerusakan gigi, kondisi ini dapat ditangani dengan perawatan saluran akar atau pencabutan gigi penyebab untuk menghilangkan sumber infeksi

- Pembengkakan gusi akibat konsumsi obat-obatan tertentu
Beberapa obat-obatan juga dapat menyebabkan pembengkakan gusi secara keseluruhan. Diantaranya adalah obat antihipertensi, immunosupresan, dan pengobatan epilepsi. Beberapa kondisi tubuh juga dapat menyebabkan pembengkakan gusi secara keseluruhan, seperti kehamilan, penggunaan behel, dan kekurangan vitamin C
Nah, kalau Anda merasa gusi Anda ada yang bengkak, segera periksakan ke Damessa Family Dental Care terdekat! Damessa Family Dental Care memiliki dokter gigi umum dan spesialis yang siap melayani keluhan Anda dan mencari akar permasalahannya dimana sehingga dapat dilakukan penanganan yang tepat sasaran dan optimal. Follow instagram @damessa.dentalclinic atau hubungi kami untuk informasi lebih lanjut, ya!