Safe Fillings. Natural Smile
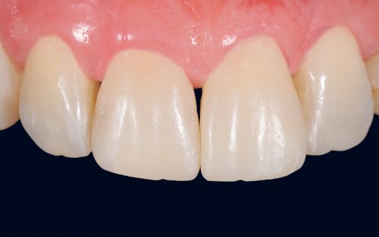
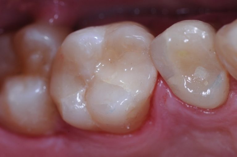
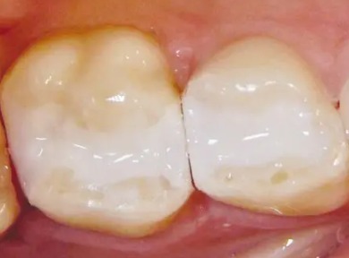
Tambal Gigi dilakukan oleh dokter gigi profesional untuk memperbaiki gigi berlubang atau rusak dengan hasil yang kuat, nyaman, dan tampak alami, sehingga fungsi gigi kembali optimal dan senyum tetap percaya diri.
Ditangani oleh dokter gigi spesialis lulusan top university yang expert dan berpengalaman, dengan pelayanan yang ramah, teliti, dan edukatif. Cek hasilnya di bawah!

Gigi yang berlubang atau terinfeksi dibersihkan dari sisa kotoran, bakteri, dan jaringan rusak, sehingga area gigi menjadi bersih dan siap untuk ditambal

Gigi yang bersih akan diisi dengan bahan tambal berkualitas tinggi yang menyatu alami menyerupai gigi asli

Setelah tambalan terpasang, dilakukan pemolesan untuk menghaluskan permukaan gigi, menyesuaikan gigitan, dan memastikan hasil akhir tampak natural, nyaman digunakan, serta berfungsi optimal.
Tambal gigi adalah prosedur untuk memperbaiki gigi berlubang, retak ringan, atau gigi yang mengalami kerusakan akibat karies. Perawatan ini membantu mengembalikan bentuk dan fungsi gigi agar bisa digunakan kembali untuk makan, menggigit, dan berbicara dengan nyaman.
Masalah gigi berlubang sering dianggap sepele karena awalnya hanya terasa ngilu ringan. Padahal, lubang kecil pada gigi bisa semakin dalam dan menyebabkan infeksi hingga nyeri hebat jika tidak segera ditangani. Karena itu, tambal gigi sebaiknya dilakukan sedini mungkin agar kerusakan tidak semakin parah.
Saat ini tersedia berbagai jenis tambalan gigi seperti tambal komposit, GIC, amalgam, hingga porselen. Biaya tambal gigi juga berbeda tergantung material, tingkat kerusakan gigi, dan apakah diperlukan tindakan tambahan seperti rontgen gigi atau perawatan saraf.
Tambal gigi diperlukan ketika terdapat:
Semakin cepat gigi ditambal, semakin sederhana prosedurnya dan biaya perawatannya biasanya lebih ringan.
Pada beberapa kasus, dokter gigi menyarankan rontgen gigi sebelum melakukan tambal gigi. Pemeriksaan ini membantu melihat kondisi bagian dalam gigi yang tidak terlihat secara langsung.
Rontgen gigi biasanya diperlukan untuk:
Dengan rontgen gigi, dokter dapat menentukan apakah gigi cukup ditambal biasa atau membutuhkan perawatan saraf gigi terlebih dahulu.
Tambalan komposit menjadi pilihan paling populer karena warnanya mirip gigi asli. Material ini cocok untuk gigi depan maupun belakang.
Kelebihan:
Tambal komposit sering digunakan untuk gigi berlubang tingkat sedang.
Glass Ionomer Cement atau GIC biasanya digunakan pada lubang ringan dan tambal gigi anak.
Kelebihan:
Kekurangannya, daya tahan GIC tidak sekuat komposit.
Amalgam merupakan tambalan berbahan logam berwarna silver. Material ini terkenal kuat untuk gigi belakang.
Kelebihan:
Namun, karena warnanya kurang estetik, penggunaan amalgam sekarang mulai berkurang.
Tambalan porselen memiliki tampilan sangat natural dan daya tahan baik.
Kelebihan:
Tambalan ini biasanya dibuat di laboratorium sehingga memerlukan lebih dari satu kunjungan.
Inlay dan onlay digunakan pada kerusakan gigi yang lebih besar tetapi belum membutuhkan crown.
Kelebihan:
Tambal sementara digunakan untuk perlindungan jangka pendek, biasanya ketika:
Daya tahannya relatif singkat dan mudah lepas jika digunakan terlalu lama.
Tambal permanen dirancang untuk penggunaan jangka panjang dengan material yang lebih kuat seperti komposit atau porselen.
Tambalan permanen lebih tahan saat digunakan mengunyah sehari-hari.
Lubang kecil biasanya cukup ditangani dengan:
Prosedurnya cepat dan kerusakan gigi masih terbatas pada lapisan luar.
Pada kondisi ini, gigi sudah mulai sensitif atau terasa nyeri ringan.
Perawatan yang umum dilakukan:
Jika lubang sudah sangat besar atau mendekati saraf gigi, dokter mungkin menyarankan:
Penanganan lebih awal membantu mengurangi risiko pencabutan gigi.
Biaya tambal gigi berbeda tergantung jenis tambalan dan kondisi gigi, berikut merupakan estimasinya:
| Jenis Tambalan | Estimasi Harga |
| Tambal GIC | Rp150.000 – Rp400.000 |
| Tambal Komposit/Sinar | Rp250.000 – Rp900.000 |
| Tambal Amalgam | Rp300.000 – Rp700.000 |
| Tambal Porselen | Rp1.500.000 – Rp4.000.000 |
| Inlay/Onlay | Rp1.500.000 – Rp5.000.000 |
Catatan: Harga bisa berbeda sesuai dengan kondisi pasien dan hasil pemeriksaan
Beberapa klinik gigi, menyediakan paket konsultasi, rontgen gigi, dan tambal gigi sehingga pasien bisa mendapatkan pemeriksaan lebih lengkap dalam satu kunjungan.
Banyak orang takut tambal gigi karena khawatir terasa sakit. Padahal, prosedur tambal gigi modern umumnya cukup nyaman.
Jika lubang gigi dalam atau sensitif, dokter dapat memberikan anestesi lokal agar area gigi mati rasa sementara. Teknik minimally invasive juga membantu mengurangi rasa tidak nyaman selama tindakan.
Setelah tambal gigi, rasa ngilu ringan selama beberapa hari masih tergolong normal, terutama saat makan dingin atau manis.
Durasi tambal gigi tergantung tingkat kerusakan dan jenis tambalan.
Perkiraan waktu:
Jika diperlukan rontgen atau perawatan saraf gigi, waktu perawatan bisa lebih panjang.
Tambal gigi anak penting untuk menjaga kesehatan gigi susu dan mencegah infeksi.
Material yang sering digunakan:
Dokter gigi anak biasanya menggunakan pendekatan yang lebih nyaman agar anak tidak takut selama perawatan. Pada beberapa kasus tertentu, sedasi dapat dipertimbangkan untuk membantu anak lebih tenang.
Daya tahan tambalan dipengaruhi oleh:
Perkiraan ketahanan:
Kontrol rutin ke dokter gigi membantu memastikan tambalan tetap dalam kondisi baik.
Pasien tetap boleh makan setelah tambal gigi, tetapi ada beberapa hal yang perlu diperhatikan.
Sebaiknya hindari:
Jika menggunakan anestesi lokal, tunggu hingga rasa baal hilang agar tidak tergigit saat makan.
Sikat gigi tetap boleh dilakukan setelah tambal gigi. Gunakan sikat berbulu lembut dan lakukan secara perlahan pada area tambalan.
Menjaga kebersihan gigi membantu tambalan lebih awet dan mencegah lubang baru muncul.
Ngilu ringan setelah tambal gigi cukup umum terjadi selama beberapa hari.
Namun, segera periksa kembali jika:
Pemeriksaan ulang membantu memastikan tambalan sesuai dan tidak ada infeksi lanjutan.
BPJS Kesehatan umumnya menanggung tambal gigi dasar sesuai indikasi medis, terutama di fasilitas kesehatan tingkat pertama seperti puskesmas atau klinik yang bekerja sama dengan BPJS.
Jenis tambalan dan prosedur yang ditanggung dapat berbeda tergantung kondisi pasien dan kebijakan fasilitas kesehatan.
Untuk tindakan estetik atau material tertentu seperti porselen, biasanya terdapat biaya tambahan di luar tanggungan BPJS.
Segera lakukan pemeriksaan jika mengalami:
Pemeriksaan lebih awal membantu mencegah kerusakan lebih besar dan menjaga gigi tetap sehat dalam jangka panjang.
Ya, tambal gigi aman dilakukan oleh dokter gigi menggunakan material yang sesuai kebutuhan pasien.
Ya. Lubang kecil tetap bisa berkembang menjadi lebih besar jika tidak dirawat.
Tergantung material dan perawatan gigi. Tambalan komposit rata-rata bertahan 5–10 tahun.
Ngilu ringan masih normal beberapa hari setelah tindakan. Jika berlebihan, sebaiknya kontrol kembali.
Komposit lebih estetik dan kuat. GIC cocok untuk lubang ringan dan tambal gigi anak.
Tidak selalu. Rontgen biasanya dilakukan jika lubang dalam, nyeri hebat, atau sulit terlihat langsung.
Boleh. Tambal gigi anak membantu menjaga kesehatan gigi susu dan mencegah infeksi.
Umumnya bisa makan setelah efek anestesi hilang, sekitar 1–2 jam tergantung kondisi perawatan.
Hubungi kami atau kunjungi klinik Damessa terdekat di kota Anda.